Ludwig Link

Breast cancer bone mets promote anemia by pilfering iron

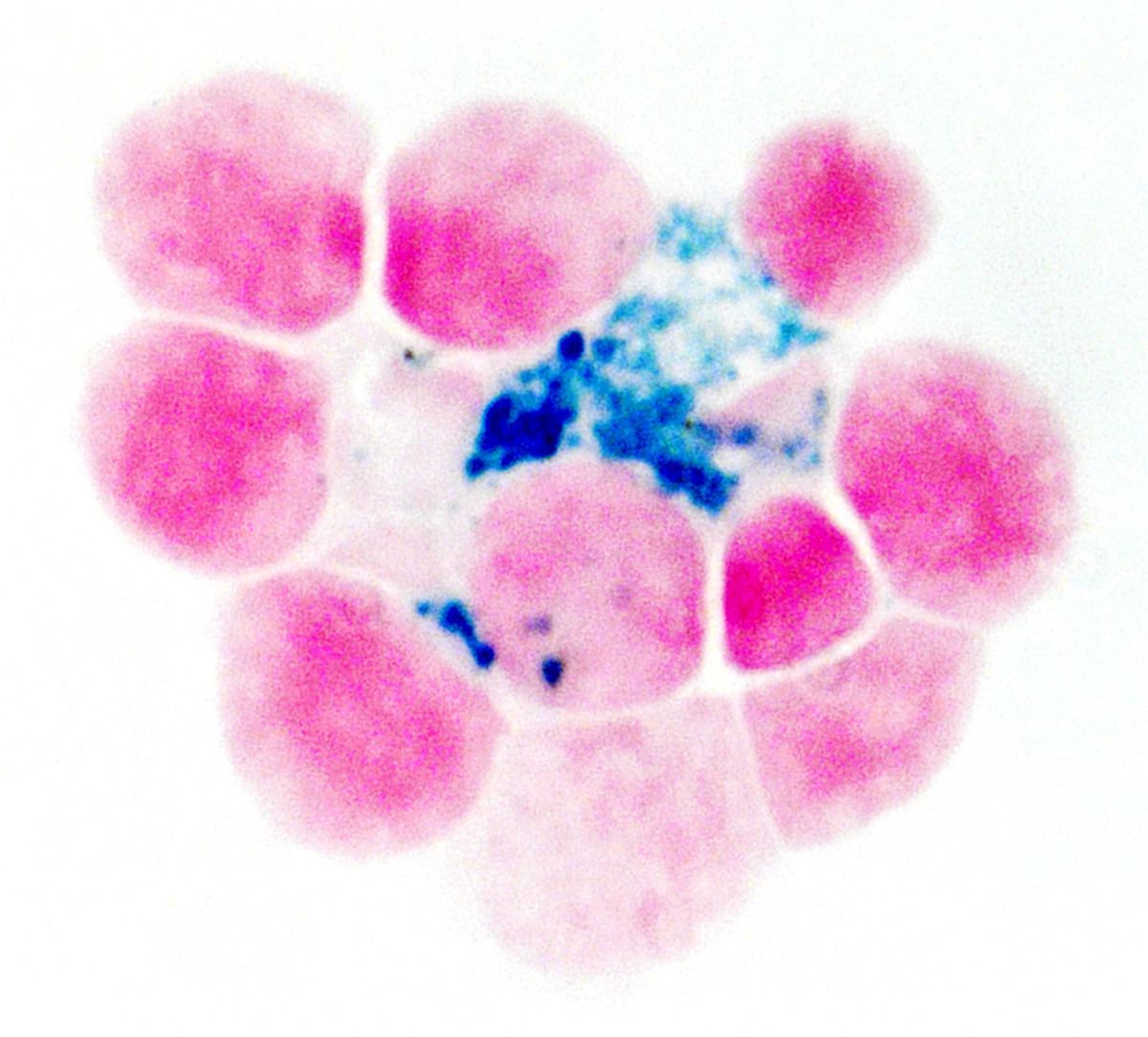
Upon metastasizing to the bone marrow, tumor cells hijack EBI macrophages, diverting iron from erythroblasts to tumor cells, contributing to anemia. This bright-field image of Prussian blue and nuclear fast red staining shows erythroblasts around an iron-rich, blue-stained macrophage.
Yujiao Han and Yibin Kang

Upon metastasizing to the bone marrow, tumor cells hijack EBI macrophages, diverting iron from erythroblasts to tumor cells, contributing to anemia. This bright-field image of Prussian blue and nuclear fast red staining shows erythroblasts around an iron-rich, blue-stained macrophage.
Yibin Kang, Ludwig Cancer Research Princeton
Yibin Kang
Yujiao Han, Ludwig Cancer Research Princeton
Yujiao Han

Breast cancers frequently spread to the bone, establishing tumors that are largely impervious to treatment and are associated with poor patient prognoses. Anemia is among the most common complications of such metastases. Researchers led by Ludwig Princeton’s Yibin Kang and Yujiao Han described in a Cell paper in September a pair of canny strategies breast cancer cells employ to access metabolic support in the oxygen-poor microenvironment of bone marrow that contribute to that anemia. They discovered that specialized iron-recycling immune cells—erythroblast island (EBI) macrophages—cluster around cancer cells in the metastatic niche in bone. Although bone marrow has healthy reserves of iron, an essential mineral, it is not readily available to invading cancer cells. EBI-macrophages ordinarily provide iron to erythroblasts, the precursors of red blood cells. Cancer cells, the researchers found, hijack EBI macrophages to acquire iron, disrupting the generation of red blood cells. Having hoarded the available iron, the cancer cells then begin mimicking erythroblasts, expressing a component of hemoglobin—β-globin—to better survive the hypoxic environment in the bone marrow. Together, these adaptations likely synergize to induce anemia. The researchers show that similar iron-handling macrophages are found in human bone metastases from lung and kidney tumors as well. This suggests that the hijacking of iron-recycling macrophages might be a common phenomenon in cancers that metastasize to the bone.

Tumors hijack macrophages for iron supply to promote bone metastasis and anemia
Cell, 2025 September 3

 Back to April 2026 Ludwig Link
Notice
?

You are now leaving Ludwig Cancer Research's website and are going to a website that is not operated by the association. We are not responsible for the content or availability of linked sites. Do you wish to continue?

Continue
Cancel